CanChn 本站元老 VIP 注册 2005-03-09 消息 8,494 荣誉分数 3,271 声望点数 373 2012-04-19 #46 俺是每4个月洗一次。木有办法,曾要求改成半年,丫医不干,好在不用自己掏钱。 不管怎么说,洗牙是必须地。
N newer 资深人士 注册 2002-08-06 消息 3,629 荣誉分数 381 声望点数 243 2012-04-19 #47 洗牙是必须的。不洗是一种愚昧。 洗牙可以防牙病, 还有让人年老时保持一口好牙,可以吃很多硬东西,保证足够的营养来源,延年益寿。 华人很多人不洗牙(有保险也不用),不注意保持牙齿卫生,牙病多,口臭多(想想你的同事们如何对待你),老人都无牙。 我就不提牙病还能给心脏带来麻烦了。 洗完牙后缝大了说明你的牙问题已经很大了,以前没有洗过, 缝里太多垃圾了,牙好的部分已经不少被腐蚀掉了。 我们一家人老少都定期洗牙。我每4个月洗一次。我回国的第一件事就是洗牙(价格好,但洗得浅)。 仅仅洗牙还不能保证留住牙齿,每天用牙线才行。
洗牙是必须的。不洗是一种愚昧。 洗牙可以防牙病, 还有让人年老时保持一口好牙,可以吃很多硬东西,保证足够的营养来源,延年益寿。 华人很多人不洗牙(有保险也不用),不注意保持牙齿卫生,牙病多,口臭多(想想你的同事们如何对待你),老人都无牙。 我就不提牙病还能给心脏带来麻烦了。 洗完牙后缝大了说明你的牙问题已经很大了,以前没有洗过, 缝里太多垃圾了,牙好的部分已经不少被腐蚀掉了。 我们一家人老少都定期洗牙。我每4个月洗一次。我回国的第一件事就是洗牙(价格好,但洗得浅)。 仅仅洗牙还不能保证留住牙齿,每天用牙线才行。
ccc 难得糊涂 管理成员 VIP 注册 2003-04-13 消息 238,130 荣誉分数 37,489 声望点数 1,393 2012-04-19 #48 西迈 说: 何叔,你多长时间洗牙啊? 村长好象是不洗的。 点击展开... 在国内的时候,从来没有看过牙科。 现在,不一定多长时间去洗一次(至少隔一年 - 声明,我买保险了。)。每次拍片子、检查,医生都纳闷地说,你的牙齿很好吗!:blowzy: 牙线?从来没有用过。每天刷两次就对得起牙齿了。 可能我是得益于小时候家穷,每年也吃不到几颗糖果的缘故(从来没有吃过蛋糕)。:blowzy:
西迈 说: 何叔,你多长时间洗牙啊? 村长好象是不洗的。 点击展开... 在国内的时候,从来没有看过牙科。 现在,不一定多长时间去洗一次(至少隔一年 - 声明,我买保险了。)。每次拍片子、检查,医生都纳闷地说,你的牙齿很好吗!:blowzy: 牙线?从来没有用过。每天刷两次就对得起牙齿了。 可能我是得益于小时候家穷,每年也吃不到几颗糖果的缘故(从来没有吃过蛋糕)。:blowzy:
S sarah liu 新手上路 注册 2011-08-15 消息 459 荣誉分数 12 声望点数 0 2012-04-19 #49 ccc 说: 在国内的时候,从来没有看过牙科。 现在,不一定多长时间去洗一次(至少隔一年)。每次拍片子、检查,医生都纳闷地说,你的牙齿很好吗!:blowzy: 牙线?从来没有用过。每天刷两次就对得起牙齿了。 可能我是得益于小时候家穷,每年也吃不到几颗糖果的缘故。:blowzy: 点击展开... 斗胆说版主愚昧!您牙齿的健康程度反映了CFC的文明与健康程度。 但是我说话的不文明,代表了我是一个粗人,更愚昧,您不要介意。
ccc 说: 在国内的时候,从来没有看过牙科。 现在,不一定多长时间去洗一次(至少隔一年)。每次拍片子、检查,医生都纳闷地说,你的牙齿很好吗!:blowzy: 牙线?从来没有用过。每天刷两次就对得起牙齿了。 可能我是得益于小时候家穷,每年也吃不到几颗糖果的缘故。:blowzy: 点击展开... 斗胆说版主愚昧!您牙齿的健康程度反映了CFC的文明与健康程度。 但是我说话的不文明,代表了我是一个粗人,更愚昧,您不要介意。
uglyducking 从前有座山 VIP 注册 2003-09-30 消息 79,555 荣誉分数 23,475 声望点数 1,373 2012-04-19 #50 ccc 说: 在国内的时候,从来没有看过牙科。 现在,不一定多长时间去洗一次(至少隔一年 - 声明,我买保险了。)。每次拍片子、检查,医生都纳闷地说,你的牙齿很好吗!:blowzy: 牙线?从来没有用过。每天刷两次就对得起牙齿了。 可能我是得益于小时候家穷,每年也吃不到几颗糖果的缘故(从来没有吃过蛋糕)。:blowzy: 点击展开... 村长靠这个。
ccc 说: 在国内的时候,从来没有看过牙科。 现在,不一定多长时间去洗一次(至少隔一年 - 声明,我买保险了。)。每次拍片子、检查,医生都纳闷地说,你的牙齿很好吗!:blowzy: 牙线?从来没有用过。每天刷两次就对得起牙齿了。 可能我是得益于小时候家穷,每年也吃不到几颗糖果的缘故(从来没有吃过蛋糕)。:blowzy: 点击展开... 村长靠这个。
ccc 难得糊涂 管理成员 VIP 注册 2003-04-13 消息 238,130 荣誉分数 37,489 声望点数 1,393 2012-04-19 #51 sarah liu 说: 斗胆说版主愚昧!您牙齿的健康程度反映了CFC的文明与健康程度。 但是我说话的不文明,代表了我是一个粗人,更愚昧,您不要介意。 点击展开... 不刷牙,肯定是种愚昧;不洗牙,也可能是一种愚昧。同意。 不过,咱洗啊,间隔多久的问题。 有的人,即便按牙医说的,每年洗几次牙也无济于事。
sarah liu 说: 斗胆说版主愚昧!您牙齿的健康程度反映了CFC的文明与健康程度。 但是我说话的不文明,代表了我是一个粗人,更愚昧,您不要介意。 点击展开... 不刷牙,肯定是种愚昧;不洗牙,也可能是一种愚昧。同意。 不过,咱洗啊,间隔多久的问题。 有的人,即便按牙医说的,每年洗几次牙也无济于事。
ccc 难得糊涂 管理成员 VIP 注册 2003-04-13 消息 238,130 荣誉分数 37,489 声望点数 1,393 2012-04-19 #52 uglyducking 说: 村长靠这个。 点击展开... 小时候食用糖过多,肯定牙齿多少会有问题。
S sarah liu 新手上路 注册 2011-08-15 消息 459 荣誉分数 12 声望点数 0 2012-04-19 #53 ccc 说: 不刷牙,肯定是种愚昧;不洗牙,也可能是一种愚昧。同意。 不过,咱洗啊,间隔多久的问题。 有的人,即便按牙医说的,每年洗几次牙也无济于事。 点击展开... 嗯,可能还应该听肛肠医生说的,每年把大肠弄出来清洗几次才能有济于事,不然说话还是粗鲁难闻。
ccc 说: 不刷牙,肯定是种愚昧;不洗牙,也可能是一种愚昧。同意。 不过,咱洗啊,间隔多久的问题。 有的人,即便按牙医说的,每年洗几次牙也无济于事。 点击展开... 嗯,可能还应该听肛肠医生说的,每年把大肠弄出来清洗几次才能有济于事,不然说话还是粗鲁难闻。
ccc 难得糊涂 管理成员 VIP 注册 2003-04-13 消息 238,130 荣誉分数 37,489 声望点数 1,393 2012-04-19 #55 uglyducking 说: 不洗牙,就是这个下场。 点击展开... 睁着眼睛拽。那是吸烟的危害。:flaming:
CanMa2011 灿妈,侃妈 VIP 注册 2011-05-05 消息 2,617 荣誉分数 440 声望点数 243 所在地 ottawa 2012-04-19 #56 哪张更像您的? 附件 which is yours.JPG 7.7 KB · 查看: 572
uglyducking 从前有座山 VIP 注册 2003-09-30 消息 79,555 荣誉分数 23,475 声望点数 1,373 2012-04-19 #57 ccc 说: 睁着眼睛拽。那是吸烟的危害。:flaming: 点击展开...
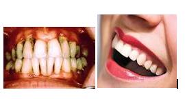
uglyducking 从前有座山 VIP 注册 2003-09-30 消息 79,555 荣誉分数 23,475 声望点数 1,373 2012-04-19 #58 before and after teeth cleaning
S sarah liu 新手上路 注册 2011-08-15 消息 459 荣誉分数 12 声望点数 0 2012-04-19 #59 uglyducking 说: before and after teeth cleaning 点击展开... before and after teeth photoshopping
TIFF 晴空一鹤排云上~~遥引诗情到碧霄 VIP 注册 2011-09-16 消息 30,398 荣誉分数 5,901 声望点数 273 2012-04-19 #60 ccc 说: 不刷牙,肯定是种愚昧;不洗牙,也可能是一种愚昧。同意。 不过,咱洗啊,间隔多久的问题。 有的人,即便按牙医说的,每年洗几次牙也无济于事。 点击展开... 保养除了洗牙刷牙,还有就是饮食结构,吃健康食品对牙也是一种保养。 还有,牙的质量除了保养,也看遗传的。有的人什么错都犯,可是牙就是好,气人。
ccc 说: 不刷牙,肯定是种愚昧;不洗牙,也可能是一种愚昧。同意。 不过,咱洗啊,间隔多久的问题。 有的人,即便按牙医说的,每年洗几次牙也无济于事。 点击展开... 保养除了洗牙刷牙,还有就是饮食结构,吃健康食品对牙也是一种保养。 还有,牙的质量除了保养,也看遗传的。有的人什么错都犯,可是牙就是好,气人。